Introduction:
Orthodontic treatment goes beyond straightening teeth; it’s about transforming smiles and boosting confidence. In this blog post, we delve into the journey of Luqman, a patient whose smile underwent a remarkable transformation through orthodontic care
First Visit: Comprehensive Assessment and Treatment Planning:

During Luqman’s initial visit, our team conducted a thorough assessment, including X-rays (OPG and lateral cephalogram), intraoral and extraoral photographs, and impressions for initial models. This detailed evaluation allowed us to create a personalized treatment plan tailored to Luqman’s specific needs.
Second Visit: Braces Application and Treatment Commencement:
In Luqman’s second visit, we applied braces to begin the orthodontic treatment. This step marked the start of his smile transformation journey. Our team ensured that Luqman was comfortable and informed about the treatment process, including the expected number of visits and the importance of compliance for optimal results.
Duration and Patient Satisfaction:

While many cases complete in 8-10 months, Luqman’s dedication and the expert guidance from his dentist led to an even quicker success. The anticipated 24 visits turned into a pleasantly short journey, leaving Luqman delighted with his early, beautiful smile.
Class 2 or Class 3 Cases: Understanding Complexity:
Orthodontic challenges vary, and some cases, like Class 2 or Class 3 malocclusions, require more time and visits. However, with a well-planned approach, even complex cases can achieve satisfying outcomes.
The Role of Retainers:
Post-braces, retainers are essential to maintaining the results. Luqman’s commitment to wearing his retainer as advised ensured that his new smile remained flawless.
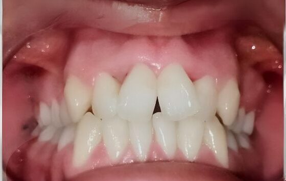
Case Study: Luqman’s Smile Journey:
Luqman’s smile tells a story of transformation. From his initial visit, where misalignment was evident, to the final reveal of a beautifully aligned smile, the change is remarkable.
Before and After: A Visual Transformation:


Luqman’s before-and-after photos here, showcasing the dramatic improvement in his smile.]
Conclusion:
Luqman’s journey exemplifies the power of orthodontic treatment in not just correcting alignment but also in renewing confidence. Every smile renovation is unique, and with the right approach and patient dedication, the results can be truly inspiring.


Hello doctor bilal, I have same problem, what could be best for me, advice me please